

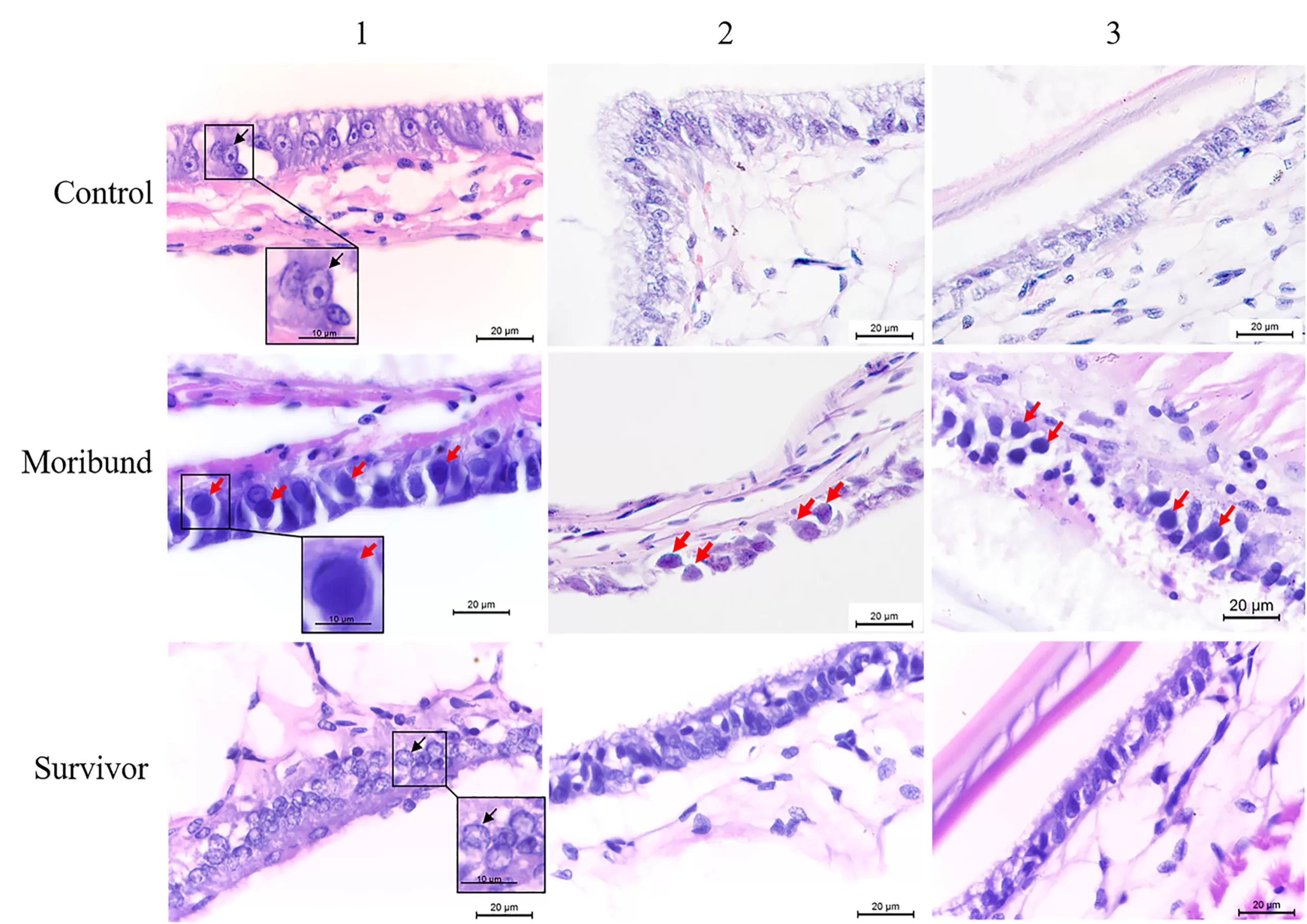
A mortalidade atingiu até 95% durante 10 dias de surto, mas entre os sobreviventes a carga viral medida por técnicas moleculares foi cerca de 10 mil vezes menor do que nos camarões moribundos. Exames histológicos mostraram que os tecidos dos sobreviventes apresentavam apenas lesões muito leves ou nenhuma lesão, enquanto os moribundos tinham células com núcleos hipertrofiados, típicos da doença.
O estudo também analisou diferenças na expressão de peptídeos antimicrobianos (AMPs), componentes importantes da resposta imune inata dos camarões. Os genes PmCrustin1 e ALF3 mostraram níveis significativamente maiores em camarões moribundos, sugerindo estímulo reativo à alta carga viral. Curiosamente, a expressão de PmCrustin1 mostrou forte correlação positiva com a quantidade de vírus, indicando possível papel complexo desse AMP na dinâmica da infecção.

Os autores destacam que os sobreviventes parecem possuir mecanismos para controlar a replicação viral e evitar o desenvolvimento da doença grave, embora o vírus não seja totalmente eliminado. Eles também mencionam a possibilidade da presença no genoma do camarão de elementos virais endógenos que contribuem para uma forma de adaptação imunológica conhecida como “acomodação viral”.
Este estudo fornece novos insights sobre a resistência ao WSSV em cultivo de camarão, com implicações para seleção genética e estratégias de manejo no setor. Os resultados foram obtidos em sistema fechado de laboratório e devem ser validados em escala comercial. Para detalhes metodológicos e análises genéticas, o artigo completo está disponível para consulta.










